RUBBERDAM SIMPLIFIED
- This comprehensive session on Rubber Dam & Armamentarium – Advantages is designed to strengthen your understanding and clinical application of isolation techniques in everyday practice.
- Participants will gain practical insights into single tooth isolation, anterior and posterior quadrant isolation, proper clamp selection, wing and wingless clamp techniques, dam inversion methods, and the effective use of floss ties.
- The program focuses on systematic, step-by-step clinical approaches that enhance precision, efficiency, and patient safety during restorative and endodontic procedures.
Date
22nd March
2026
Time
10 AM - 01 PM
About The Trainer
Dr. Pankul Sehgal
Dr. Pankul Sehgal is a highly accomplished dental professional, currently serving as the Director of Delhi Dental Academy. With 15 years of extensive teaching experience, she has established herself as a respected authority in the field of dentistry. Dr. Pankul Sehgal earned her graduation degree from PGIMS Rohtak and further honed her expertise with a post-graduation from GDC Indore. Her professional journey includes a significant tenure at the prestigious All India Institute of Medical Sciences (AIIMS) in Delhi. As a prosthodontist, Dr. Pankul Sehgal is well-versed in a range of dental procedures, possessing exceptional skills in Endodontics, Composite Restorations, Rubber Dam applications, Dental Implants, Laminate Veneers, Dentures, Post and Core procedures, Bleaching, Teeth Whitening, and Dental Aesthetics. Her dedication to enhancing dental education and patient care continues to make a positive Impact in the field.
RUBBERDAM SIMPLIFIED
Course Details
Event Details:
Date: 22nd March 2026
Time: 10:00 AM to 01:00 PM
Platform: Online (Zoom)
Who Should Attend:
Dental professionals Pan India, Sri Lanka, Bhutan, Nepal, Bangladesh and Maldives interested in learning from Dr. Pankul Sehgal, Director of Delhi Dental Academy, is an accomplished prosthodontist with 15+ years of teaching experience. A graduate of PGIMS Rohtak and a postgraduate from GDC Indore, she has also served at All India Institute of Medical Sciences (AIIMS) Delhi. Dr. Sehgal specializes in Prosthodontics, Endodontics, Composite Restorations, Rubber Dam Techniques, Dental Implants, Veneers, Dentures, Post & Core, and Aesthetic Dentistry.
Fee: ₹500
Contact the organizers at +91 70453 07478 for assistance.
Benefits
Enhance clinical precision and moisture control during restorative and endodontic procedures
Improves patient safety and comfort through effective isolation
Increases efficiency and reduces chairside complications
Builds confidence in clamp selection and rubber dam application
Learnings
Standardize isolation protocols for predictable clinical outcomes
Understand the advantages of rubber dam isolation in modern dentistry
Perform single tooth isolation effectively
Execute anterior and posterior quadrant isolation techniques
Select the appropriate clamp based on clinical requirements
Differentiate and apply wing and wingless clamp techniques
Perform proper dam inversion for optimal seal
Utilize floss ties safely and efficiently for enhanced stability
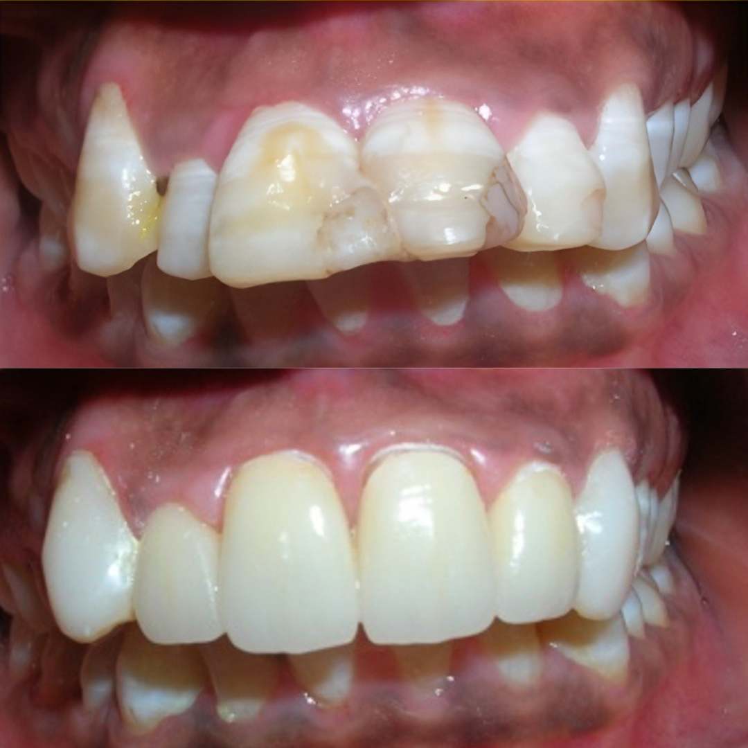
Smile Transformations: Before & After
Limited Seats Available*
Past Webinars Glimpse









Connect For Inquiry
Contact us with the help of below form if you have any query and want it resolved before registering for the webinar.
Terms & Conditions
- Participants must complete their registration in advance to secure access to the webinar.
- Access links are unique to each registrant and cannot be shared or transferred.
- The webinar may be recorded for educational and promotional purposes. By attending, participants consent to being part of the recording.
- Recording will be provided for a week.
- The Zoom joining link will be shared within 24 hours of successful registration.
- A minimum attendance of 3 hours is required to qualify for a certificate and access webinar resources.
- All webinar content, including presentations, slides, and discussions, is the intellectual property of the organizers and speakers.
- Any reproduction, distribution, or unauthorized use is strictly prohibited.
- Registrations are non-refundable